奧龍產品
聯系我們
- 遼寧省丹東市振興區愛河大街66號(原丹東臨港產業園區富民大街46號)
-
0415-3141333 6278999
13841538000
3141222(售后服務)
400-168-8858(銷售熱線)
- 0415-3458588 3458688
- al@aolongcn.cn
● 生命科學研究設備
小動物三維掃描Micro CT
小動物三維掃描Micro CT
ChiPet 100是一款針對離體骨,小鼠,大鼠及兔子等動物進行多功能3D掃描的Micro-CT系統。
可以測量骨參數、棕色脂肪、皮下脂肪、脂肪肝、血管、腫瘤轉移等參數。
能進行骨相關研究成像,包括關節炎、骨質疏松、骨損傷修復、骨再生等領域,可進行骨密度、骨微結構、骨小梁的定量分析;
能進行脂肪研究成像,能夠分離出皮下脂肪、內臟脂肪、棕色脂肪,并對脂肪體積含量進行定量測定;
能進行呼吸道研究成像,獲取正常或疾病狀態時肺部及支氣管影像,并對體積等參數進行定量分析;
能進行心臟研究成像,包括心梗、心肌肥大、動脈粥樣硬化、心臟血管病變等研究,可獲取舒張期及收縮期心臟體積參數及左心室射血分數等功能參數;
能進行全身血管成像研究,獲得高分辨率的血管造影影像;
能進行肝、脾、腎等內臟的成像研究,獲得體積、表面積等定量參數。

一鍵自動辨識載床并快速設定
選擇濾鏡與FOV模式
掃描時間:2秒(高速模式)
2μm高分辨率影像
專利的載床設計可自動辨識、防撞
獨立的熱風系統與氣體麻醉,穩定動物生命征象
配置球管能量范圍:40-90 kVp, 50W高能量電源

智能模式 操作簡單,自動調出優化的造影參數,只要放得進去,就能夠掃描,無須花時間調整
自動檢測動物床
三種模式FOV:大鼠/小鼠/離體/超高分辨率自動選擇
光譜:管電壓&額外的濾鏡
管電流
技術參數
X射線源 | 40-90 kV, 50W, 15 μm 焦點尺寸@ 6W |
額外濾片 | 根據用戶選擇附贈5個濾片 |
X射線探測器 | 1536x 1944, 14位CMOS探測器, 2x2, 4x4幀模式 |
空間分辨率 | 44.9, 22.5, 15, 9, 2 um |
CT 探測器有效范圍(掃描空間) | 80x 200 mm (80mm 和 40 mm直徑, 單次掃描長80 mm) |
重建尺寸 | 1944*1944*1536 |
掃描時間 | 標準:20秒. 半掃描:2 秒. |
尺寸 (Wx Dx H) cm | 880 mm(W)x1500 mm(D)x1500 mm(H) |
重量 | <850 Kg |
輻射安全 | 掃描過程中距離儀器表面5cm處任一點< 5 μSv/h |
檢測案例
小鼠股骨
超高分辨率模式下像素大小為9μm。
A軸向和矢狀面顯示小鼠股骨結構。
B用鈦材料植入的穿過骨頭的冠狀切片

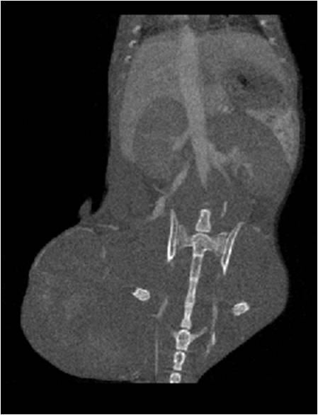
腫瘤血管生成


肺轉移
小鼠模式,22.5μm像素
正常

肺轉移
8天 14天

無造影劑注入 造影劑注入
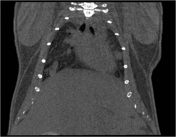
心血管
胸部和心血管的層析成像 胸部和心血管的3D圖像








